八旬老人仅剩2根肋骨未断,胸外科手术成功救治
八旬老人仅剩2根肋骨未断,胸外科手术成功救治
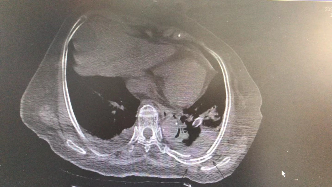
今年2月底的一天,80岁的刘奶奶在家门口被一辆三轮车撞倒,车从她的胸部轧了过去。刘奶奶被紧急送往当地医院重症监护室,检查结果让医生吃惊:CT成像显示断了22根肋骨,也就是除了最粗短的第1肋,两侧的2-12肋全部断裂,且合并肺挫裂伤、血气胸和耻骨骨折。
刘奶奶被紧急转入湖南省第二人民医院胸外科,经过副主任医师舒升光医疗团队对刘奶奶仔细检查评估,并组织多学科会诊,施行胸腔镜辅助下的开胸探查术+肺破裂修补术+双侧多发肋骨骨折开放复位内固定术。
手术历时3小时,医生将刘奶奶双侧肋骨骨折复位,使用环抱式接骨器内固定,并对肺部8厘米长的裂口进行胸腔镜下修补。手术过程顺利,术中出血仅150毫升。经过术后精心治疗和护理,刘奶奶日前恢复良好出院。
胸部横断面CT
人体共有24根肋骨,它们分列胸部两侧形成桶状胸廓,保护心肺以及重要大血管。肋骨骨折,轻则呼吸困难,疼痛难忍;严重将影响心肺功能并威胁到生命。
舒升光介绍,肋骨骨折多发生在第4~7肋;第1~3肋有锁骨、肩胛骨及肩带肌群的保护而不易伤折;第8~10肋渐次变短且连接于软骨肋弓上,有弹性缓冲,骨折机会减少;第11和12肋为浮肋,活动度较大,甚少骨折。像刘奶奶这种22根肋骨断裂的情况并不多见。
舒升光表示,轻症的肋骨骨折,在没有错位的情况下可以采用保守治疗;而多根多处的肋骨骨折很容易引起连枷胸、气胸、血胸、血气胸、失血性休克等各种并发症,严重的会危及生命,需要及时手术治疗。部分病人可以行胸腔镜下肋骨骨折复位和环抱式接骨器内固定术,疼痛症状减轻,康复时间缩短。
潇湘晨报记者夏盛 通讯员潘冰洁
