咳嗽、咳血、消瘦、高热,CT检查发现阴影,是肺癌?还是其他疾病呢?家住益阳的62岁的龚女士,就遇到了这个问题。半个月前,她突然开始出现咳嗽、咳痰,气促,最高体温甚至达到了39.0℃,龚女士自认为是普通感冒,于是至当地卫生所输液治疗了5天,咳嗽、咳痰较前稍好转,但仍然反反复复。后再次出现发热,咳嗽、咳痰、咯血等症状,人也逐渐消瘦,而且再次输液治疗未见好转,做了CT等检查后,高度被怀疑为肺癌!这可把龚女士吓坏了,为了搞清楚自己的病情,也希望系统诊治,近日,慕名来到湖南省第二人民医院呼吸与危重症医学科门诊就诊。
在湖南省第二人民医院呼吸与危重症医学科曾祥伯主任带领的团队系统的诊治下,发现患者肺部有大面积肺不张,严重感染,并且形成了肺脓肿。结合临床症状,再次CT的检查后,曾祥伯主任考虑为气道异物局部炎性肉芽肿形成引起的,支气管阻塞可能性大,肺癌的可能性较小。
在纤支镜下的检查治疗下,大量的脓性分泌物涌出,大量肉芽包裹,经过近一个小时的冷冻,高频电清除等等相关治疗后,终于找到了“元凶”:气道异物——“一块骨头”,并顺利取出。

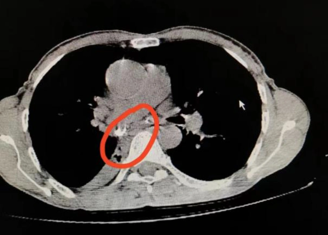
△入院时CT影像
气道异物是不是只有儿童才会发生的?
龚女士非常不解,为什么她这么大年纪了也发生了气管异物?曾祥伯主任介绍道:气道异物确实在儿童中较为多见,但是成年人也有可能发生。特别是老年人,经常并发有不同程度的心脑血管疾病,存在咀嚼功能较差、咳嗽反射较迟钝、吞咽呼吸动作协调度差等情况,也容易引起误吸。尤其对有吞咽功能障碍的老人,在进食时一定要有耐心,切不可着急,而且要尽量喂食流质或半流质饮食。
为什么气道有异物当时患者没有感觉呢?
一旦气道进了异物,最先会表现出剧烈咳嗽,同时可能伴有憋闷、呼吸困难、反常呼吸形态等症状,但是如果气管异物所在的位置没有堵塞支气管,不影响气道通畅,就可以跟人相安无事“相处下去”,这就是龚女士一直不知道自己气道有个异物的原因。
气道异物为什么被怀疑为肺癌?
气道异物非常危险,如果气道内出现了“不速之客”,长时间在异物的刺激下,呼吸道分泌物增加或堵塞物膨胀,可导致反复咳嗽、咯血、咳脓痰、高热等症状,这些症状与肺癌的症状非常相似,而且异物会慢慢被肉芽包裹,在CT检查的影像下,很容易被诊断是肿瘤。
湖南省第二人民医院呼吸与危重症医学科曾祥伯主任提醒:针对原因不明的慢性咳嗽或肺不张,久治难愈的肺部感染等患者,需警惕气管支气管异物可能,建议尽早就医,以免延误诊治。纤维支气管镜可以通过声门进入气管、支气管及远端,观察到气管和支气管的病变,寻找肺部病原体、取出病变组织、吸痰、灌洗、放置支架等相关的检查和治疗,是临床上一种非常安全、有效的检查方法。
潇湘晨报记者夏盛 通讯员黄瑞 袁燕清
