近日,18岁的小徐因意识模糊、左眼视物不清并伴剧烈头痛被送往湖南省第二人民医院脑血管病神经外科救治,紧急行“后交通动脉瘤栓塞术+脑血管造影”手术后救回生命。
小徐的妈妈介绍,10天前小徐突发头晕、头痛、轻微呕吐,以为是普通感冒,就自行在家服药观察,期间症状没有改善。直到4月28日,症状突然加重,意识丧失、视物模糊并伴随爆裂样头痛,这才被家人紧急送到医院救治。
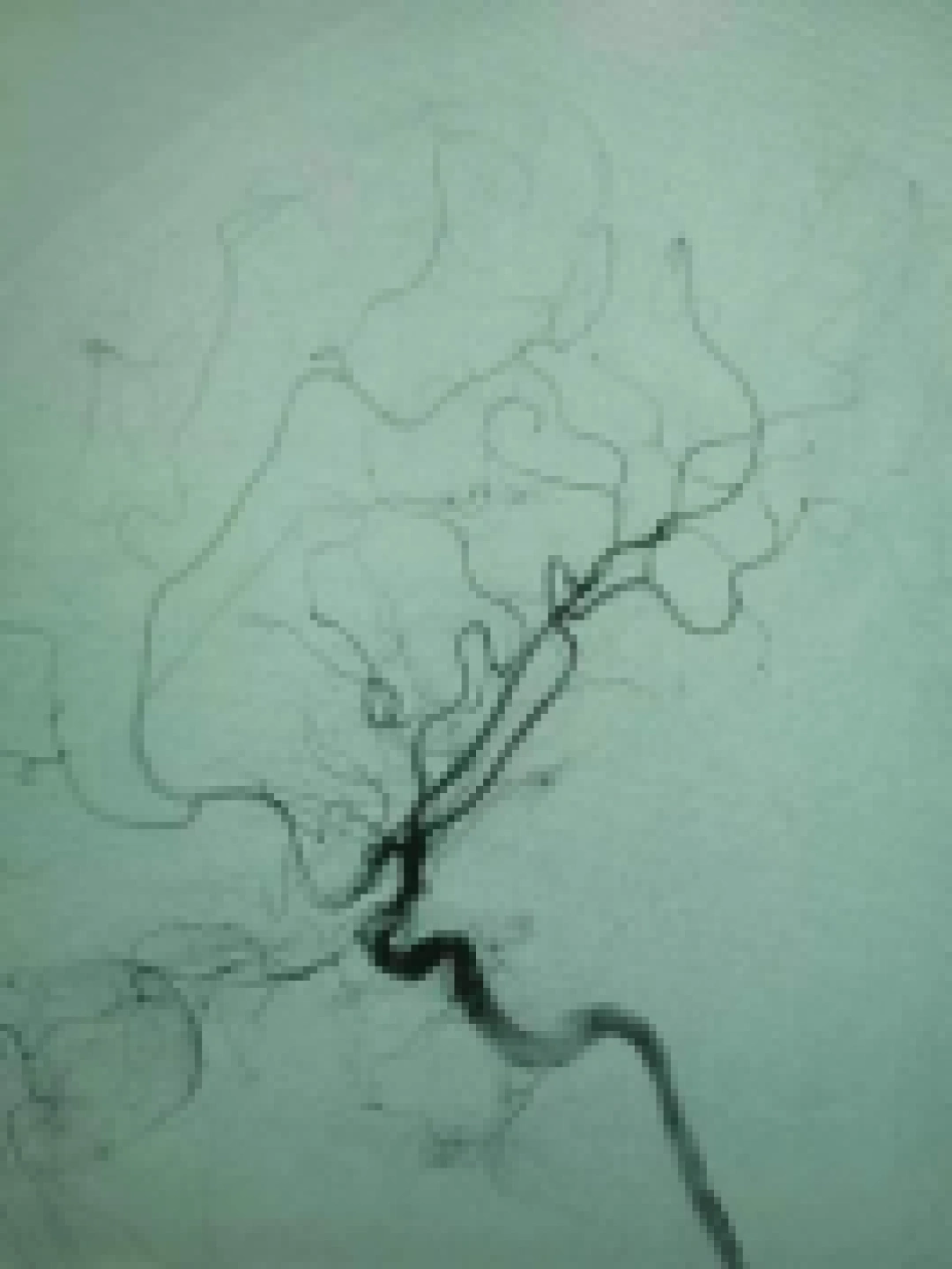
入院后,脑部CT显示蛛网膜下腔出血。脑血管病神经外科主任刘坤指示立即完善头颈部脑血管CT检查(CTA),进一步发现小徐左侧有不规则动脉瘤,最大处达8 mm。
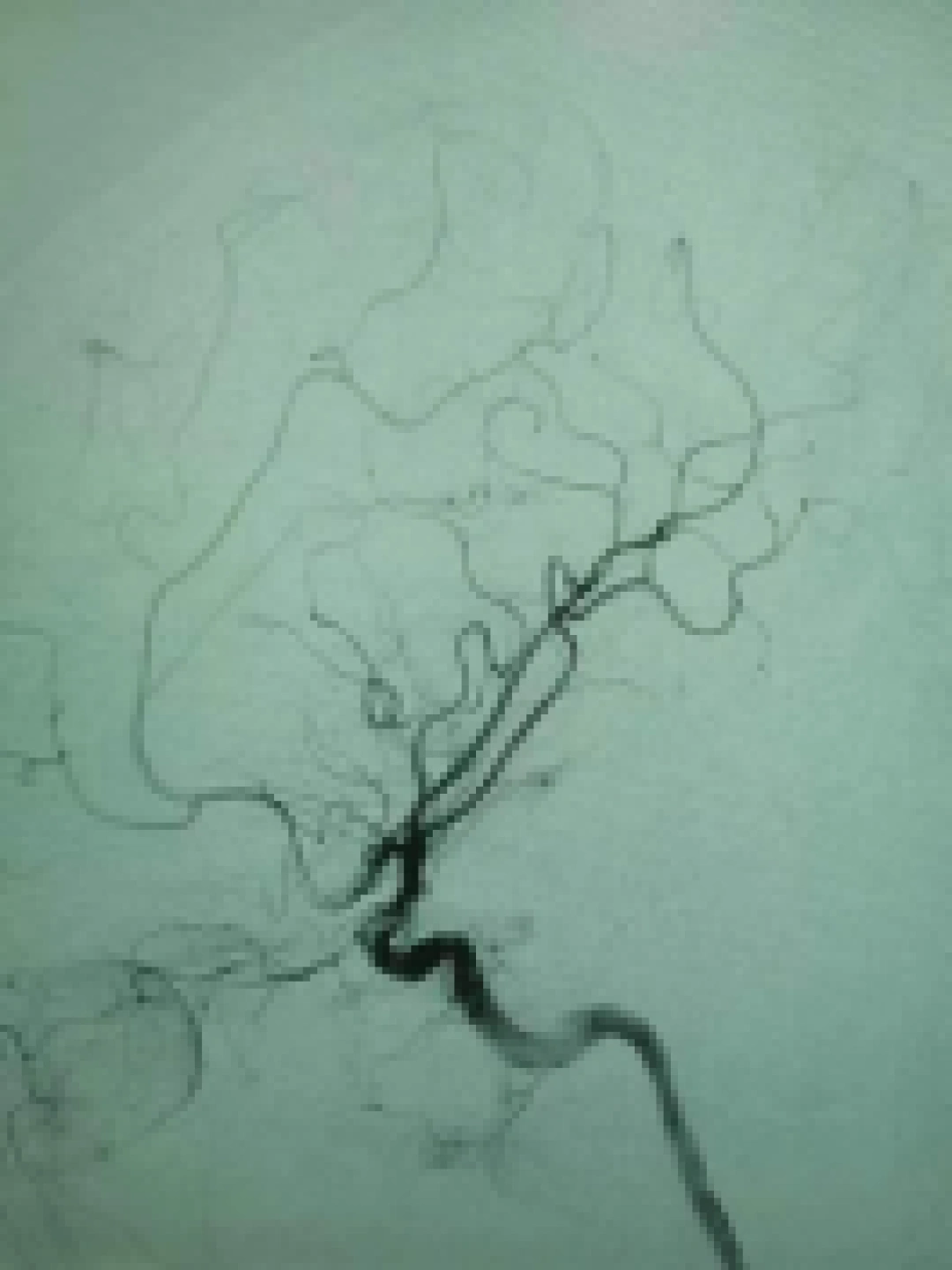
在征得其家人同意后,刘坤、袁波两位教授带领团队为小徐行“后交通动脉瘤栓塞术+脑血管造影”手术,即在腹股沟置入一根直径约2毫米的动脉鞘,通过动脉鞘将导丝导管送入动脉瘤内,在动脉瘤口放置一根支架作为“栅栏”后,再在动脉瘤内填入弹簧圈进行栓塞,解除动脉瘤破裂出血风险。
袁波介绍,脑动脉血管壁上的管壁薄弱处向外膨胀突出,膨出的血管壁看起来像瘤子一样,因此被称为动脉瘤。在颅内动脉瘤破裂出血早期,有头晕、头痛、呕吐等症状,与感冒症状类似,在中后期才会呈现爆裂样疼痛,伴有颅内高压、恶心、呕吐、意识丧失等,此时死亡率和致残率极高。

△左侧颈内动脉瘤

△脑血管造影术示动脉瘤栓塞术后
“年轻人得动脉瘤的主要原因还是先天性因素、感染和创伤性损伤三类。”刘坤介绍,先天性因素主要是动脉壁中层呈节段性缺如、肌纤维发育不良、组织排列异常等原因。沙门菌感染则是引起细菌性动脉瘤的第一大原因。创伤性损伤包括直接暴力损伤导致动脉壁部分破裂或完全断离;间接暴力损伤波及动脉造成的动脉壁撕裂,以及长期反复的挫伤、医源性创伤等。
此外,动脉粥样硬化也是导致年轻人患动脉瘤的重要因素。“年轻患者若发现类似症状,要及时前往医院进行就诊,确定病因后遵医嘱治疗”,刘坤提醒。
潇湘晨报记者任弯湾 通讯员邓云娇
